Travma Cerrahisi
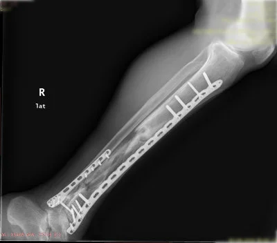
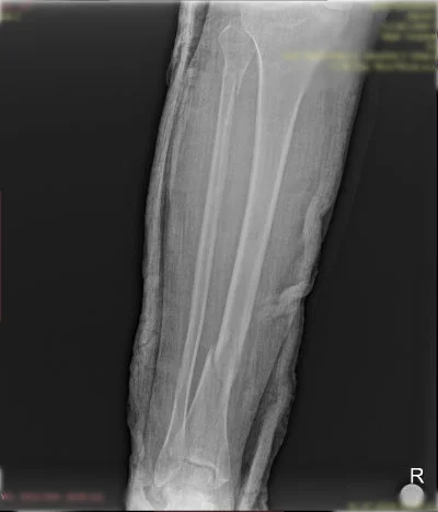
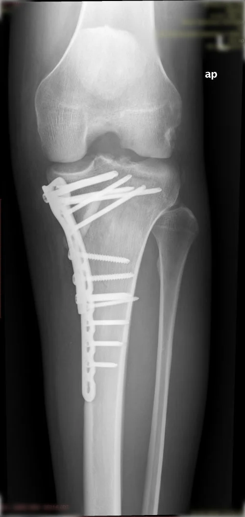
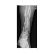
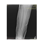
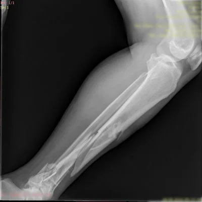
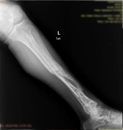
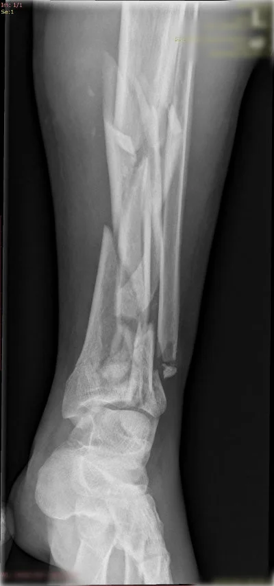
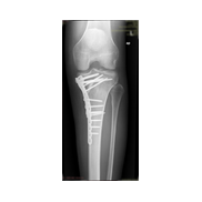
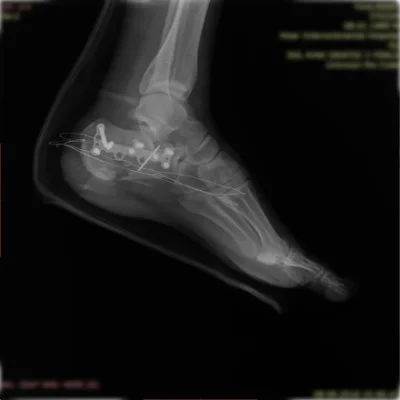
Kas-iskelet sisteminin tüm kırık ve çıkıkları, kas, tendon ve sinir yaralanmaları geniş bir yelpazeyi kapsamaktadır. Her kırık kendi özelinde ayrı ayrı değerlendirilmeli ve her kırık için ameliyat planlaması bu bağlamda yapılmalıdır. Özellikle pelvis-asetabulum kırıkları ortopedik travmada bizler için önemli bir yer tutmaktadır. Bu bölge kırıklarını başarı ile tedavi etmekteyiz.

Travma Cerrahisi Nedir?
Hayatın herhangi bir anında karşılaşabileceğimiz düşmeler, trafik kazaları, iş ya da ev kazaları, ciddi yaralanmalara neden olabilir. Bu tür olaylar sonrasında kemik kırıkları, eklem çıkıkları, kas ve bağ yaralanmaları gibi durumlar ortaya çıkar.
İşte bu noktada devreye travma cerrahisi girer.
Travma cerrahisi, kazalar ya da şiddetli darbeler sonucu oluşan yaralanmaların tanı, tedavi ve iyileştirme süreçlerini kapsayan bir uzmanlık alanıdır.
Hızlı ve doğru müdahale
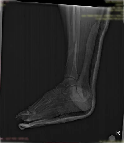
Özellikle kalça, diz, omurga, kol ve bacak kırıkları gibi durumlarda hızlı ve doğru müdahale, iyileşme sürecini büyük ölçüde etkiler.
Prof. Dr. Halil Burç kliniği olarak, bu tür acil durumlarda sadece yaraları dikmek ya da kırığı sabitlemekle yetinmiyor; hastanın uzun vadeli hareket kabiliyetini, konforunu ve yaşam kalitesini korumayı hedefliyoruz. İleri düzey tekniklerle yapılan ameliyatlar sayesinde, hastalarımızın günlük yaşamlarına en kısa sürede ve en az sakatlıkla dönebilmesi için çalışıyoruz.
Bilinçli Olmak
Elden gelenin en iyisini yapmak, sadece ameliyatla değil; tedavinin her aşamasında bireysel ihtiyaçlara göre planlanmış bir yaklaşımla mümkündür. Yaşlı bireylerde kalça kırığı, gençlerde spor yaralanmaları ya da çocuklarda basit düşme sonrası kemik kırıkları — her durum farklı bir strateji gerektirir.
Sonrası
Travma sonrası ağrı, şişlik, hareket kısıtlılığı veya deformite gibi belirtiler görürseniz, zaman kaybetmeden uzmana başvurmanız çok önemlidir. Yanlış ya da geciken tedavi, kalıcı sorunlara yol açabilir.
Halilburc.com olarak, travma sonrası her hastayı özenle dinliyor, durumuna en uygun tedaviyi açık ve anlaşılır bir dille anlatıyor, güven içinde süreci birlikte yürüyoruz.
SSS : Sıkça Sorulan Sorular (FAQ)
Kemik kırığı olduğunu nasıl anlarım?
Şiddetli ağrı, şişlik, morarma, hareket kısıtlılığı veya çarpık duran bir kol/bacak, kırık olabileceğinin önemli işaretleridir. Kesin teşhis için mutlaka bir uzmana başvurmalı ve röntgen çektirmelisiniz.
Kemik kırığı kaynamadan önce ne kadar süre geçer?
Yetişkinlerde kırıklar genellikle 6–12 hafta içinde kaynar. Ancak bu süre, kırığın yeri, yaşı, genel sağlık durumu ve sigara kullanımı gibi faktörlere göre değişir.
Kalça kırığı sonrası ne kadar yatakta kalmak gerekir?
Günümüzde çoğu kalça kırığı ilk 24–48 saat içinde ameliyatla tedavi edilir. Ameliyat sonrası 1–2 gün içinde ayağa kalkılması hedeflenir; uzun süre yatakta kalmak, komplikasyon riskini artırır.
Çocuklarda kırıklar yetişkinlerden farklı mı tedavi edilir?
Evet. Çocuklar büyümekte olduğundan, kırıklarında büyüme plakaları dikkate alınır. Bu nedenle tedavi yaklaşımı daha koruyucu ve özel olmalıdır.
Travma sonrası fizik tedavi şart mı?
Evet, özellikle eklem veya uzun kemik kırıklarında kas zayıflığı ve eklem sertliği oluşabilir. Fizik tedavi, hareket kabiliyetini tam olarak geri kazanmada kritik rol oynar.
Prof. Dr. Halil Burç’a nasıl randevu alabilirim?
Web sitemizdeki “Randevu Al” bağlantısından veya iletişim sayfamızdaki telefon numaraları üzerinden ekibimizle doğrudan iletişime geçebilirsiniz.
Görüntüleri büyütmek için resmin üstüne tıklayınız.
“Bu içerik, Prof. Dr. Halil Burç tarafından hazırlanmış ve tıbbi olarak gözden geçirilmiştir.”
Travma ve Travma cerrahisi konusunda aklınıza gelen bir soru mu var?
Aşağıdaki formdan bize ulaşabilirsiniz.
Aşağıdaki formdan bize ulaşabilirsiniz.