İçeriğe git

Deformite Düzeltme Cerrahisi | İstanbul Ataşehir - Prof. Dr. Halil Burç | Ortopedi ve Travmatoloji Uzmanı

Ortopedi ve Travmatoloji Cerrahı
Menüyü atla
Menüyü atla
Menüyü atla
DEFORMİTE DÜZELTME
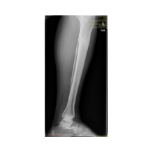
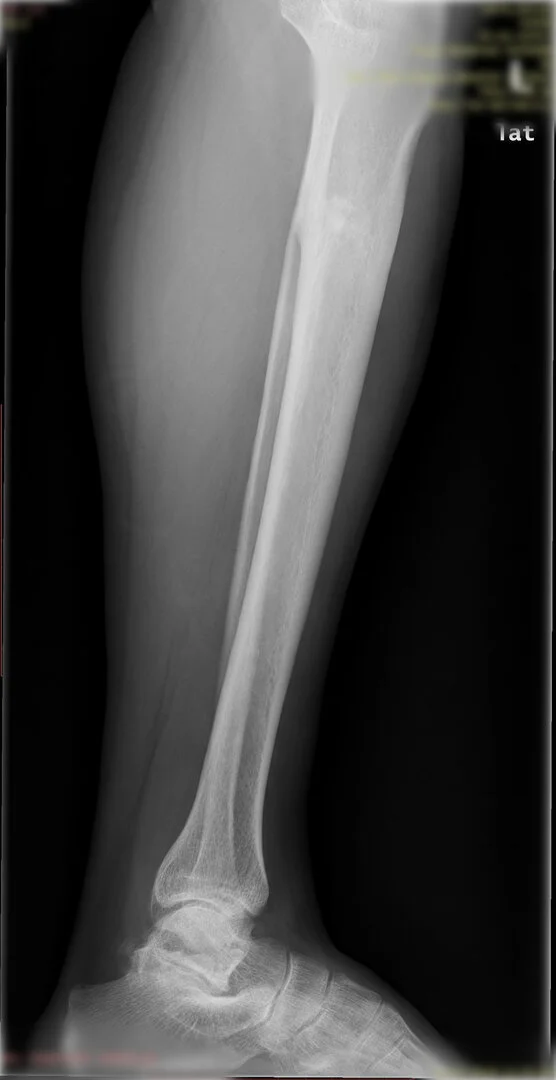
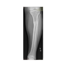
Deformite, bir kırık sonrası yanlış kaynama sonucunda olabileceği gibi doğumsal nedenlerden de olabilir.
Ameliyat öncesi deformitenin iyi analiz edilmesi, planlamanın ona göre yapılması gerekir. Deformite düzeltilmesi esnasında eğer kısalık var ise sıra ile iki problemin de aynı anda düzeltilmesi mümkündür.

Deformiteyi düzeltmek için ne tür yöntemler kullanılıyor?

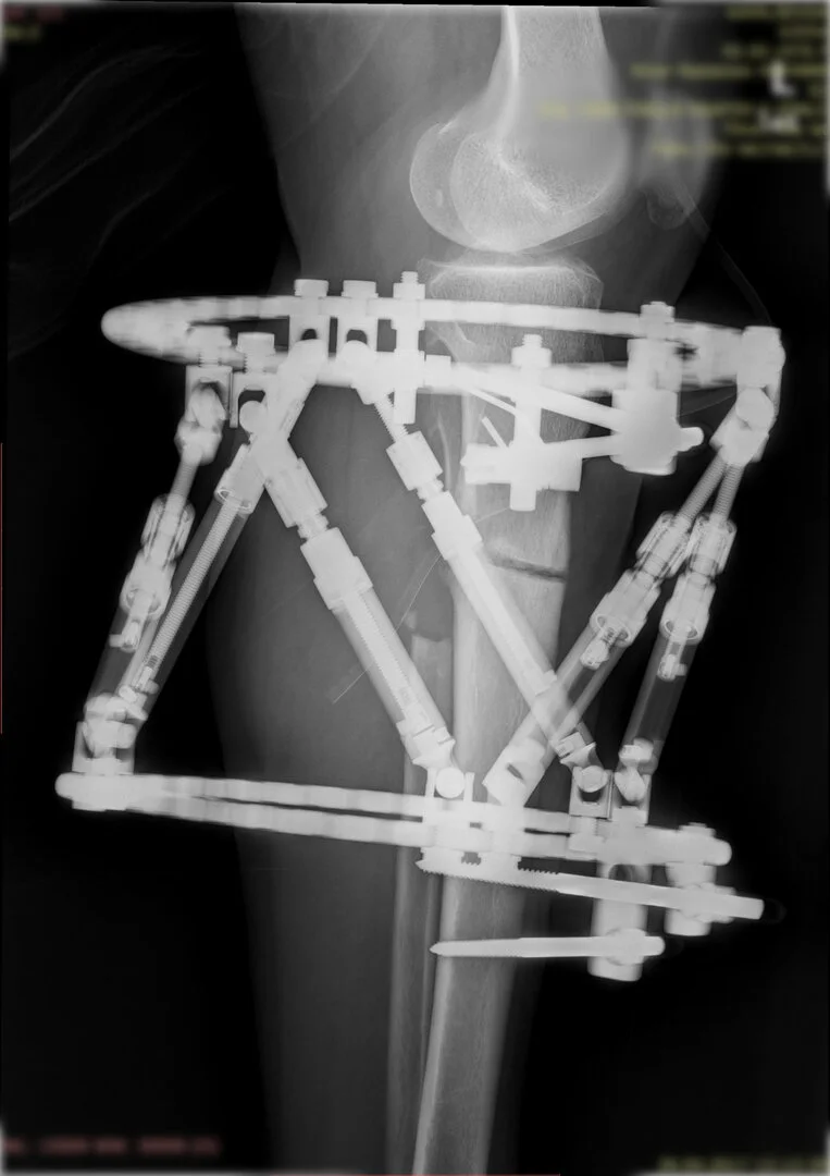
Deformitenin yeri ve miktarına bağlı olarak bilgisayar destekli sirküler eksternal fiksatör ile tedrici düzeltme yapılabilir. Bu sistemin avantajı düzeltme esnasında sistemle oynayarak yeni düzenlemeler yapmanıza izin vermesidir.
Diğer bir yöntem akut olarak düzeltme yöntemidir. Bu yöntemde kemiğe uygulanılan tespit yöntemi plak-vida kombinasyonu olabileceği gibi bir intramedüller çivi de olabilir.
Hangi tespit yöntemini kullanacağınıza deformitenin yeri ve miktarına göre karar vermek gereklidir.

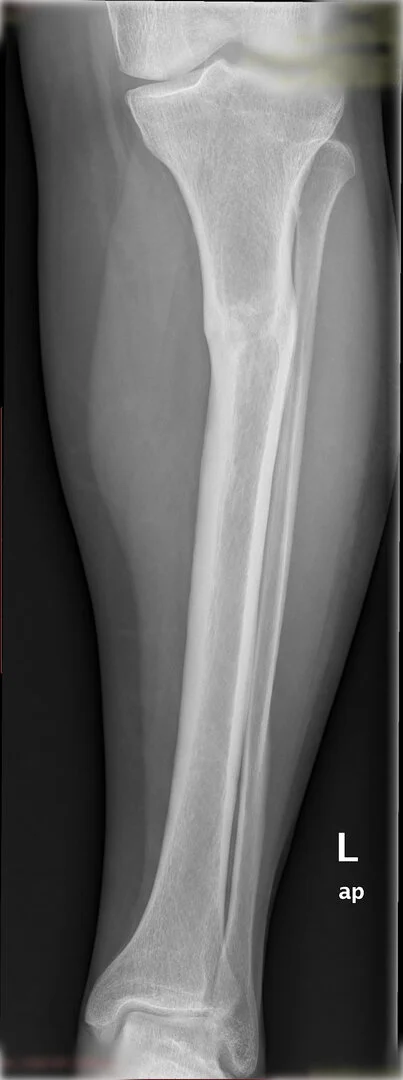
Diz Çevresi Osteotomileri (Yüksek Tibial Osteotomi (YTO) ve Distal Femoral Osteotomi)

Normal bir kişide diz eklemi hafif içe doğru eğimlidir. Bunu genu varus olarak adlandırmaktayız. Bazen bu varus açısı fazla olduğu zaman diz ekleminin iç tarafına anormal yük binerek erken dönemde kireçlenme ortaya çıkmaktadır. Özellikle genç hastalarda bu durumun düzeltilmesi gereklidir. Aksi takdirde daha erken dönemde diz ekleminde problemler yaşamaya başlarlar.

Peki bu ameliyat nasıl uygulanır, hangi yöntemler kullanılır?
Bu ameliyat öncesi bir deformite analizi yapılıp hangi kemikte, normalden ne kadar sapma olduğu tespit edilir. Daha sonra bu kemiğe yine ostetomi yapılarak bu anormal sapma düzeltilir.  Bu düzeltme plak-vida veya intramedüller çivi ile akut olarak düzeltilebileceği gibi bilgisayar destekli sirküler eksternal fiksatör ile tedrici olarak ta yapılabilir. Hangi yöntemin hangi hasta için uygun olacağına hasta özelinde karar veriyoruz, ne tür cerrahi tedavi olması gerektiğini danışabilirsiniz.

Görüntüleri büyütmek için üzerine tıklayınız.
Boy Uzatma ve Deformite Düzeltme: Yeni Bir Başlangıç İçin Doğru Adım Boy Uzatma ve Deformite Düzeltme: Yeni Bir Başlangıç İçin Doğru Adım Boy Uzatma ve Deformite Düzeltme: Yeni Bir Başlangıç İçin Doğru Adım Boy Uzatma ve Deformite Düzeltme: Yeni Bir Başlangıç İçin Doğru Adım Boy Uzatma ve Deformite Düzeltme: Yeni Bir Başlangıç İçin Doğru Adım Boy Uzatma ve Deformite Düzeltme: Yeni Bir Başlangıç İçin Doğru Adım Boy Uzatma ve Deformite Düzeltme: Yeni Bir Başlangıç İçin Doğru Adım Boy Uzatma ve Deformite Düzeltme: Yeni Bir Başlangıç İçin Doğru Adım Boy Uzatma ve Deformite Düzeltme: Yeni Bir Başlangıç İçin Doğru Adım
“Bu içerikler, Prof. Dr. Halil Burç tarafından 25+ yıllık klinik deneyimi temel alınarak hazırlanmıştır.”
Menüyü atla
Bu site, AI kullanılmadan,
kendine ait alt yapı ve kaynaklar kullanılarak
Prof. Dr. Halil BURÇ tarafından tasarlanmıştır.
Dizayn ve programlama TrendiTech by WebsiteX5
Editor: +90 (541) 352 74 46
Tüm hakları saklıdır.
Son güncelleme Nisan 2026
İçeriğe dön