Kalça Protezi
Koksartroz Nedir ve Nasıl Tedavi Edilir?
Koksartroz (Kalça eklemi kireçlenmesi), protez cerrahisi ile çözüm bulmaya çalıştığımız diğer bir rahatsızlıktır.

Diz protezinde kabul ettiğimiz kriterler koksartroz içinde geçerlidir.
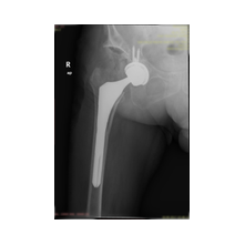
Peki kalça protezi ameliyatın da neler yapıyoruz? Diz protezi ameliyatındaki benzer aşamaları uyguluyoruz. Kalça eklemi dize göre yapısal olarak ve çalışma sistemi olarak farklıdır. Kalça eklemi bir yuva ve onun içinde hareket eden femur başı dediğimiz bir toptan oluşur. Kalça eklemi kireçlenmesinde bu baş ve yuva yüzeyindeki kıkırdakların aşınması sonucu başın yuvarlaklığı kaybolur, sonuçta ağrı ve hareket kısıtlılığı ortaya çıkar. Bu yüzeyleri değiştirirken öncelikle bu başı kesip atıyoruz. Daha sonra yuvayı yine kılavuzlarla oyup uygun büyüklükteki protezi sıkıştırdıktan sonra en az 2 vida ile kemiğe adapte ediyoruz. Daha sonra alt uyluk kemiğini yine kılavuzlar yardımı ile oyduktan sonra kemiğe adapte ediyoruz ve sistemi birleştiriyoruz.
Ameliyat sonrası hastayı neler bekliyor?
Dreni, ameliyattan 24 saatten sonra çekiyoruz.
Dren alındıktan sonra hastanın kalkıp tam yük ile yürümesini istiyoruz.
Hastanın 2 saat aralıklarla 15-20 dakika yürümesini önermekteyiz.
Hastanın adaptasyon süresinin kısalması ve kolaylaşması için fizik tedavi gerekebilir.
Kireçlenme Artık Engel Değil
Görüntüleri büyütmek için üzerine tıklayınız.
Deneyim ve Bilgi
“Bu içerikler, Prof. Dr. Halil Burç tarafından 25+ yıllık klinik deneyimi temel alınarak hazırlanmıştır.”